


こちらではインプラントに関する様々な症例についてご紹介をしております。
インプラント治療 症例のご紹介6 K様 上の前歯複数本の治療
こちらは上顎の前歯等 複数本のインプラント治療例です。その他の治療も当院にて行っております。
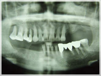
下の画像はそのパノラマ写真です。
![]() |
![]() |
![]() |
| 治療前 上から見た所 | 治療後 上から見た所 |
![]() |
| 治療前後パノラマ |
インプラント治療 症例のご紹介5 A様 下顎への複数本の症例
こちらは当院にて下顎へ2本インプラント治療を行った例です。
![]() |
![]() |
![]() |
| 治療前 | 治療後 |
インプラント治療 症例のご紹介4 S様 上顎へ3本 下顎へ4本埋入の事例
こちらは上顎がインプラント3本を埋入、
下顎へインプラント4本を埋入した事例 となっております。
![]() |
![]() |
![]() |
| 治療前 | 治療後 上3本 下4本埋入 |
インプラント治療 症例のご紹介3 F様
複数本のインプラント治療 治療前・治療中・治療後のご紹介です。
下顎へ3本のインプラントを埋入いたしました。
治療後の写真をご覧いただくと、他の歯と全く違和感がないのが分かります。
![]() |
![]() |
![]() |
| 治療中 | 治療後 |
![]() |
![]() |
![]() |
| 治療前 | 治療後 |
![]() |
![]() |
![]() |
| 治療前 | 治療後 |
インプラント治療 症例のご紹介2 O様
こちらは当院にて行いました上の前歯を入れ歯からインプラントにした症例お写真です。
上の前歯がインプラントになり、隣の前歯とのバランス・見た目も良くなりました。
![]() |
![]() |
![]() |
| 治療前 | 治療後 |
インプラント治療 症例のご紹介1 N様
こちらは当院にて行いましたインプラント治療例の症例写真・パノラマです。
左に1本インプラントを埋入した例となります。
![]() |
![]() |
![]() |
| 治療前 | 治療後 |
![]() |
![]() |
![]() |
| 治療前 | 治療後 |
入れ歯を入れている場合
こちらは入れ歯を入れている場合で、複数本のインプラント埋入となります。 
歯根が溶けている場合
歯根が溶けてしまっている部分へインプラント体を埋入し、その上に人工の歯を付けます。
治療後の見た目はどれが自然の歯でどれがインプラントかが分からないほどです。

歯が一本抜けている場合
一本のみ歯が抜けている場合にもインプラント治療は対応可能です。
左右の歯との見た目のバランスも重要です。
